Người bệnh Cao Đức L., 57 tuổi, trú tại xã Vũ Thư, tỉnh Hưng Yên, nhập viện trong tình trạng đau tức nặng ngực hai bên, khó thở tăng dần, mệt mỏi nhiều.
Ngay khi tiếp nhận, kíp trực Khoa Cấp cứu – Hồi sức tích cực và Chống độc đã nhanh chóng thăm khám, triển khai các biện pháp xử trí cấp cứu ban đầu nhằm cải thiện tình trạng khó thở cho người bệnh, đồng thời thực hiện các thăm dò cận lâm sàng cần thiết như siêu âm, chụp chiếu.

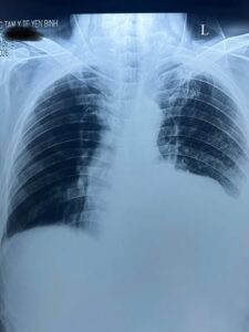
Kết quả thăm dò cho thấy bệnh nhân bị tràn dịch màng phổi hai bên. Trước tình trạng khó thở nặng, các bác sĩ đã kịp thời thực hiện thủ thuật chọc dịch màng phổi cấp cứu, giúp giải phóng dịch, cải thiện thông khí phổi và giảm nhanh các triệu chứng cho người bệnh.

Sau can thiệp, hiện tình trạng bệnh nhân tạm thời ổn định, tiếp tục được theo dõi và điều trị tại khoa.
Trường hợp trên cho thấy tầm quan trọng của việc phát hiện sớm, xử trí kịp thời trong các bệnh lý hô hấp cấp cứu, đồng thời thể hiện tinh thần trách nhiệm, sự tận tâm và năng lực chuyên môn của đội ngũ y bác sĩ Khoa Cấp cứu – Hồi sức tích cực và Chống độc.
Khuyến cáo: Khi xuất hiện các dấu hiệu như đau ngực, khó thở, mệt mỏi kéo dài, người dân cần chủ động đến cơ sở y tế để được thăm khám và điều trị kịp thời, tránh những biến chứng nguy hiểm.
-Nguyễn Quyền-


